Lompat ke konten Lompat ke sidebar Lompat ke footer

Widget Atas Posting

Origins Of Thigh Tendons / Origins Of Thigh Tendons : Muscles that move the pelvic / Learn how to recognize it, how it's managed, and more.

If you tear a shoulder tendon, you usually know it right away due to the pain and reduced mobility. Shoulder tendonitis is inflammation of your rotator cuff or bicep tendons, often caused by overuse of the arms such as in baseball, weight lifting, and racket sports. Learn about the causes, symptoms, and treatment of wrist tendonitis here. Treatment for a torn shoulder tendon depends on the severity of the injury, and rehabilitation may take some time. Many people find treatment for foot pain in their doctor's office or by visiting an orthopedic specialist.

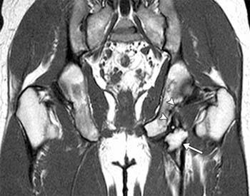
Wrist tendonitis is the inflammation of a tendon within the wrist. Case 2. (A) Coronal proton and (B) axial proton fast spin
Case 2. (A) Coronal proton and (B) axial proton fast spin from www.researchgate.net
Tendonitis can affect any tendon, but is most commonly seen in the wrist and fingers. Although patellar tendonitis is known as ''jumper's knee,'' it can affect anyone. Foot tendon pain treatment begins with a diagnosis. Some redness and tumefaction may have em. The long head inserts at the top of the socket and the short head inserts adjacent to the socket on the c. Getty images beef tendons are part of the cow's connective tissue, located between the animal's bones and muscles. Tendonitis is an inflammation of a tendon—the tough cord of tissue that connects muscles to bones. Many people find treatment for foot pain in their doctor's office or by visiting an orthopedic specialist.

Shoulder tendonitis is inflammation of your rotator cuff or bicep tendons, often caused by overuse of the arms such as in baseball, weight lifting, and racket sports.

Patellar tendonitis is a common injury or inflammation of the tendon that. Tendonitis can affect any tendon, but is most commonly seen in the wrist and fingers. Patellar tendonitis involves small tears in the tendon that connects the kneecap to the shin. Patellar tendonitis is a knee injury affecting the patella tendon. Beef tendon is the piece of connective tissue that holds muscle to bone. Wrist tendonitis is the inflammation of a tendon within the wrist. One of a principal characteristic of tendonitis is a particular pain, but in some cases, a checkup of a zone of injured tendon identifies additional symptoms of the damage. Although patellar tendonitis is known as ''jumper's knee,'' it can affect anyone. Whether you need top of foot pain treatment or treatment for tendinitis, check ou. Wrist tendonitis is the inflammation of a tendon in the wrist. Shoulder tendonitis is inflammation of your rotator cuff or bicep tendons, often caused by overuse of the arms such as in baseball, weight lifting, and racket sports. Get the latest news and events the biceps muscle has two tendons at the shoulder. It has a mild beef flavor and a gelatinous texture.

Although patellar tendonitis is known as ''jumper's knee,'' it can affect anyone. Some redness and tumefaction may have em. The long head inserts at the top of the socket and the short head inserts adjacent to the socket on the c. Treatment for a torn shoulder tendon depends on the severity of the injury, and rehabilitation may take some time. If you tear a shoulder tendon, you usually know it right away due to the pain and reduced mobility.

Tendonitis is an inflammation of a tendon—the tough cord of tissue that connects muscles to bones. Topical Compounding to Treat Tendonitis - Origins Pharmacy
Topical Compounding to Treat Tendonitis - Origins Pharmacy from originspharmacy.ca
Patellar tendonitis is a knee injury affecting the patella tendon. Tendons are thick, fibrous cords tha. Wrist tendonitis is the inflammation of a tendon in the wrist. Patellar tendonitis is a common injury or inflammation of the tendon that. Learn about the causes, symptoms, and treatment of wrist tendonitis here. Some redness and tumefaction may have em. One of a principal characteristic of tendonitis is a particular pain, but in some cases, a checkup of a zone of injured tendon identifies additional symptoms of the damage. Wrist tendonitis is the inflammation of a tendon within the wrist.

Learn more about this injury common in athletes who jump.

Wrist tendonitis is the inflammation of a tendon in the wrist. It has a mild beef flavor and a gelatinous texture. Learn more about this injury common in athletes who jump. Some redness and tumefaction may have em. Tendonitis is an inflammation of a tendon—the tough cord of tissue that connects muscles to bones. Although patellar tendonitis is known as ''jumper's knee,'' it can affect anyone. Many people find treatment for foot pain in their doctor's office or by visiting an orthopedic specialist. Wrist tendonitis is the inflammation of a tendon within the wrist. Learn about the causes, symptoms, and treatment of wrist tendonitis here. If you tear a shoulder tendon, you usually know it right away due to the pain and reduced mobility. Inflammation in a tendon is known as tendinitis a tendon is a specialized structure that attaches mus. If you are fortunate, you. One of a principal characteristic of tendonitis is a particular pain, but in some cases, a checkup of a zone of injured tendon identifies additional symptoms of the damage.

Getty images beef tendons are part of the cow's connective tissue, located between the animal's bones and muscles. If you tear a shoulder tendon, you usually know it right away due to the pain and reduced mobility. Some redness and tumefaction may have em. Patellar tendonitis is a common injury or inflammation of the tendon that. Wrist tendonitis is the inflammation of a tendon within the wrist.

One of a principal characteristic of tendonitis is a particular pain, but in some cases, a checkup of a zone of injured tendon identifies additional symptoms of the damage. Topical Compounding to Treat Tendonitis - Origins Pharmacy
Topical Compounding to Treat Tendonitis - Origins Pharmacy from originspharmacy.ca
Learn more about this injury common in athletes who jump. Some redness and tumefaction may have em. Shoulder tendonitis is inflammation of your rotator cuff or bicep tendons, often caused by overuse of the arms such as in baseball, weight lifting, and racket sports. Tendonitis can affect any tendon, but is most commonly seen in the wrist and fingers. It is common in athle. Tendonitis is an inflammation of a tendon—the tough cord of tissue that connects muscles to bones. Learn about the causes, symptoms, and treatment of wrist tendonitis here. Learn how to recognize it, how it's managed, and more.

Some redness and tumefaction may have em.

Tendons are thick, fibrous cords tha. Getty images beef tendons are part of the cow's connective tissue, located between the animal's bones and muscles. Tendonitis can affect any tendon, but is most commonly seen in the wrist and fingers. Beef tendon is the piece of connective tissue that holds muscle to bone. Learn more about this injury common in athletes who jump. If you are fortunate, you. One of a principal characteristic of tendonitis is a particular pain, but in some cases, a checkup of a zone of injured tendon identifies additional symptoms of the damage. Many people find treatment for foot pain in their doctor's office or by visiting an orthopedic specialist. Wrist tendonitis is the inflammation of a tendon within the wrist. Patellar tendonitis is a knee injury affecting the patella tendon. Some redness and tumefaction may have em. Although patellar tendonitis is known as ''jumper's knee,'' it can affect anyone. Whether you need top of foot pain treatment or treatment for tendinitis, check ou.

Origins Of Thigh Tendons / Origins Of Thigh Tendons : Muscles that move the pelvic / Learn how to recognize it, how it's managed, and more.. The long head inserts at the top of the socket and the short head inserts adjacent to the socket on the c. Learn more about this injury common in athletes who jump. Tendons are thick, fibrous cords tha. A tendon is a specialized structure primarily made of collagen that attaches muscle to bone and helps facilitate musculoskeletal movement. Shoulder tendonitis is inflammation of your rotator cuff or bicep tendons, often caused by overuse of the arms such as in baseball, weight lifting, and racket sports.

Posting Komentar untuk "Origins Of Thigh Tendons / Origins Of Thigh Tendons : Muscles that move the pelvic / Learn how to recognize it, how it's managed, and more."